Канцелярскую кнопку вдохнул ребенок в Сибири

Врачи нескольких отделений Городской детской клинической больницы Новосибирска оказали помощь 9-летнему пациенту.

Ему потребовалась  операция.

Источник фото:  Министерство здравоохранения Новосибирской области

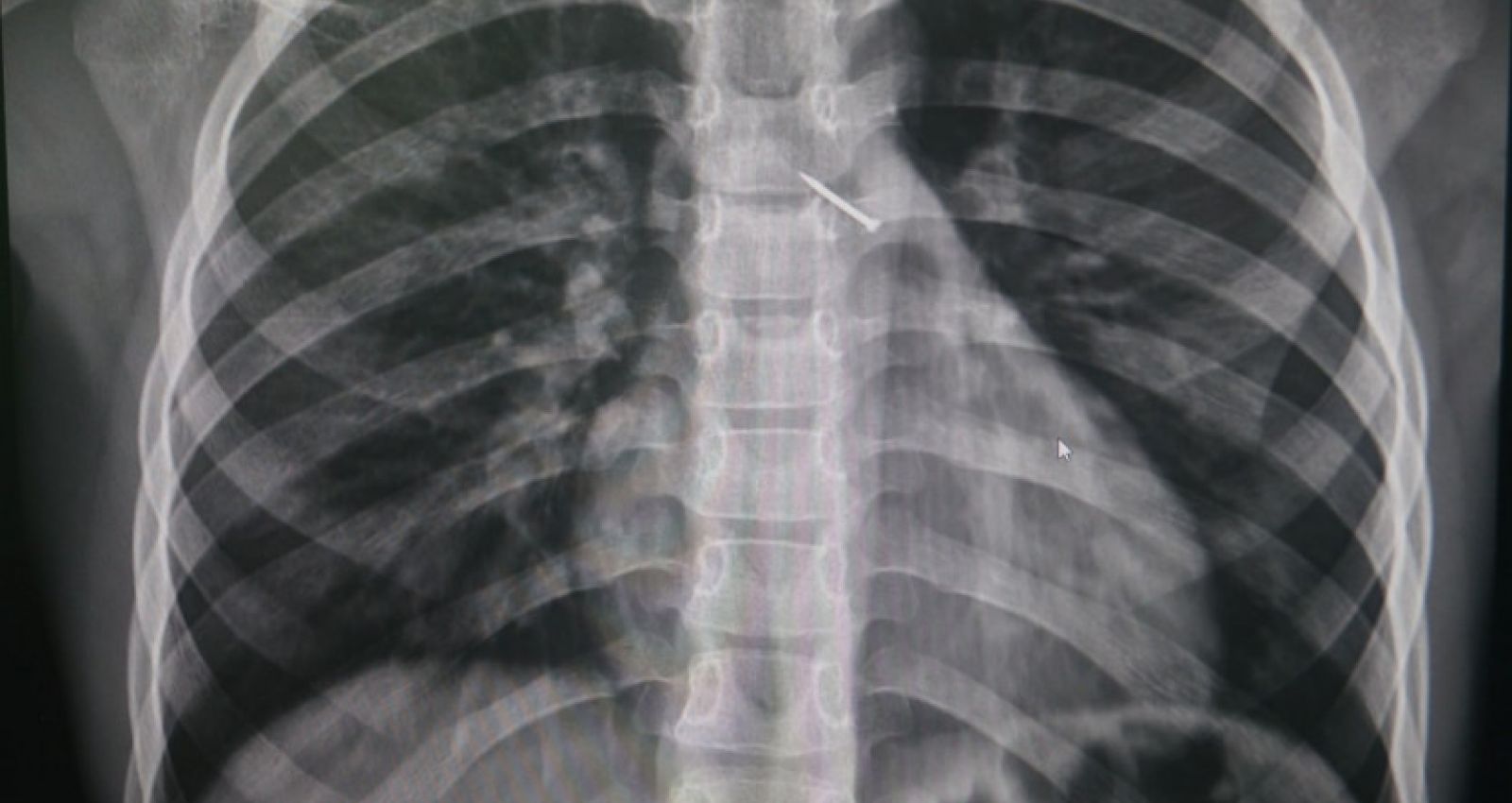
Врачи нескольких отделений Городской детской клинической больницы Новосибирска оказали  помощь 9-летнему пациенту. Из бронхов мальчика извлекли канцелярскую кнопку, сообщает Минздрав региона .

Выяснилось, что во время активной игры на улице ребенок случайно вдохнул острый предмет. В больницу мальчик поступил с болью за грудиной и невозможностью глубоко вдохнуть. Рентген  показал, что канцелярская кнопка попала в бронхи, уперлась в одну из стенок и вызывала  воспаление.

Медики успешно извлекли опасный предмет при помощи эндоскопических зажимов. После этого юный пациент прошел ингаляционную терапию и был выписан спустя 4  дня.

Последние новости

Влияние частотных преобразователей на энергопотребление

Как современная электроника помогает экономить ресурсы и снижать затраты

Студентами Алтайского аграрного университета, Алтайского госколеджа и лицея железнодорожного транспорта проведены экологические акции

Вчера, 3 апреля, в Железнодорожном районе прошел первый «чистый четверг», в рамках которого студенты Алтайского госколледжа и лицея железнодорожного транспорта активно включились в экологические инициативы.

Роспотребнадзор: «горячая линия» на апрель 2025 года

Роспотребнадзор: «горячая линия» на апрель 2025 года В апреле 2025 года по телефону «горячей линии» жители региона смогут получить консультации специалистов по вопросам защиты прав потребителей при реализации рыбы,

Частотный преобразователь

Подбираем решения под ваши задачи с учётом особенностей оборудования и требований

На этом сайте вы сможете узнать актуальные данные о погоде в Новочеркасске, включая прогнозы на ближайшие дни и часы

Комментарии (0)

Добавить комментарий

Ваш email не публикуется. Обязательные поля отмечены *